Contents
나이가 들면서 자연스럽게 관절도 뻣뻣해지고 통증이 느껴지면서 정말 이제는 관절 건강을 챙겨야 할 때라는 것을 실감하게 되는데요. 건강한 관절을 위해 콘드로이친 효능이 도움이 될 수 있습니다. 관절 영양제로 알려진 콘드로이친 효능은 관절 건강과 연골 보호에 필수적인 성분인데요. 콘드로이친은 어떻게 우리의 관절을 보호하고, 움직임을 부드럽게 할 수 있는지, 그리고 과학적 연구가 어떻게 이를 뒷받침하는지 알아보겠습니다.
콘드로이친이 뭘까요?
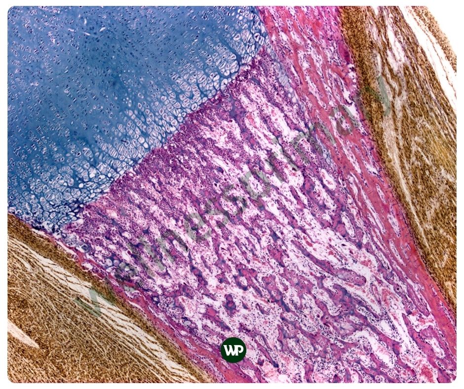
콘드로이친은 연골 조직에 존재하는 물질인데요. 주로 관절과 뼈의 건강에 중요한 역할을 합니다. 콘드로이친은 연골 내에 존재하는 중요한 글리코사미노글리칸의 일종으로, 주로 연골, 뼈, 힘줄, 인대 등에 많이 있습니다. 연골의 주요 구성 요소인 콘드로이친은, 관절의 부드러운 움직임을 도와주며 충격을 흡수해 통증을 완화해 줍니다. 또한 당과 단백질의 복합체인 프로테오글리칸의 일부로, 연골의 탄력성을 높이는데에도 도움이 됩니다. 주로 상어와 소의 연골에서 추출하여 영양제로 섭취할 수 있습니다.






콘드로이친 효능
1. 관절 건강
연골은 관절의 움직임을 부드럽게 하고 충격을 흡수하는 역할을 하는데요. 이러한 연골의 역할은 관절이 원활하게 움직이는데 중요하지요. 콘드로이친 효능은 위에서도 언급하였 듯이 연골 조직에 존재하며 연골 내부의 구조를 강화하고 유지하는 데 도움을 주어 관절 건강에 도움을 줍니다. 또한 콘드로이친은 관절의 윤활을 증진시켜, 움직임 시 마찰과 통증을 줄여주어 관절이 부드럽게 움직일 수 있도록 도와줄 수 있습니다.
2. 연골 보호 및 재생
인간의 연골의 두께는 무릎의 대퇴골 연골의 경우 약 3mm에서 4mm 정도로 가장 두껍습니다. 어깨 관절 연골은 약 1mm~2mm에 불과하지요. 연골은 우리의 움직임을 위해 매우 중요한 역할을 하지만 실제로 매우 얇습니다. 그래서 가능한 빨리 연골 보호에 신경을 써야 합니다. 콘드로이친 효능은 연골의 손상을 예방하며, 이는 특히 연령 증가에 따른 연골 퇴화를 막는 데 중요한 역할을 합니다. 콘드로이친은 이미 손상된 연골의 경우, 그 회복을 돕고, 연골 세포의 재생을 촉진하는 매우 중요한 역할을 합니다.
3. 염증 감소 및 통증 완화
관절염과 같은 염증은 연골을 파괴할 수 있는데요. 콘드로이친은 염증을 유발하는 화학물질의 생성을 억제하며, 이로 인해 관절염과 같은 염증성 질환에서 발생하는 통증과 부기를 감소시켜 줄 뿐 아니라 연골의 파괴도 막아줄 수 있습니다. 또한 염증이 감소함으로써 관절 통증을 완화하는 데 도움을 줍니다.
4. 운동 능력 개선
콘드로이친은 통증을 완화해 주고 관절에 윤활을 향상시키는 효과가 있습니다. 관절의 움직임이 더 편해지면서 운동 시의 편안함과 운동 능력을 증진시켜줄 수 있습니다. 또한 거동이 불편하신 분들께는 일상 생활의 활동 능력 향상에 도움을 줄 수 있습니다. 일상의 활동능력과 운동 능력을 증진해 줌으로써 운동을 통해 근육을 만드는데에도 도움이 될 수 있습니다.
논문 연구
다수의 연구에서 콘드로이친이 관절염 증상의 완화에 효과적임을 입증했습니다.
"Effectiveness and safety of glucosamine and chondroitin for the treatment of osteoarthritis: a meta-analysis of randomized controlled trials" 연구 에서는 콘드로이친이 통증 증상을 완화하고 운동 기능을 개선할 수 있다는 것을 보여주었습니다. 또한, 부작용의 발생률과 중단률은 위약과 비교하여 유의한 차이가 없어 콘드로이친 효능이 통증 완화와 신체 기능 개선에 효과적이라는 결론을 내렸습니다.
콘드로이친은 관절 건강을 유지하고 개선하는 데 매우 유용한 성분입니다. 그러나 모든 건강 보조식품과 마찬가지로, 콘드로이친을 섭취하기 전에 의사와 상의하는 것이 중요합니다. 관절 건강을 위한 콘드로이친의 효능을 올바르게 이해하고 적절히 활용하는 것이 중요합니다.






콘드로이친 섭취 방법
콘드로이친은 일반적으로 영양제인 정제 형태로 섭취를 하는데요. 하루 권장량은 보통 콘드로이친 1200mg입니다. 식사와 함께 섭취하면 흡수가 좋아질 수 있으니 참고하세요!
- 효과적인 콘드로이친 섭취: 관절 건강을 위해 콘드로이친을 섭취할 때는 체내 흡수가 빠른 종류를 선택하는 것이 중요합니다. 콘드로이친 종류는 소 연골에서 추출한 콘드로이친과 상어연골에서 추출한 콘드로이친 입니다. 소 연골 추출은 흡수 시간이 짧아 더욱 효과적이라고 합니다.
- 인증 제품의 중요성: 콘드로이친 제품을 선택할 때는 신뢰성이 중요합니다. 식품의약품안전처에서 관절 건강에 대한 기능성을 인정받은 제품을 선택함으로써, 안전하고 효과적인 섭취를 할 수 있습니다.
소연골, 상어연골 둘 다 관절 건강에 도움이 되는 데요. 저는 소연골 콘드로이친 1200을 선택했습니다. 계단 오를때 무릎이 가끔 시큰거려서 관절 영양제를 검색하다가 콘드로이친 1200제품을 선택했고요. 콘드로이친 효과 없다는 이야기도 있지만 제 개인의 경험으로는 관절 통증 감소에 큰 콘드로이친 효능 도움을 받아서 꾸준히 섭취하고 있어요. 종근당 콘드로이친, 뉴트리 코어 콘드로이친, 관절엔 콘드로이친 등이 많이 판매가 되고 있어요.
콘드로이친 부작용 및 주의사항
콘드로이친은 대체로 안전하나, 알레르기 반응이나 소화 불량을 경험할 수 있습니다. 특정 약물과 상호작용할 수 있으므로, 복용 전에 의사와 상담하는 것이 중요합니다.
- 의사와 상담: 특히 기존에 복용 중인 약물이 있거나 특정 건강 상태가 있는 경우, 시작하기 전에 항상 의사와 상담하는 것이 중요합니다.
- 알레르기 반응: 상어연골이나 소연골에 알레르기 반응이 있을 수 있으므로, 처음 사용하는 경우 소량으로 시작하는 것이 좋습니다.
SUMMARY
콘드로이친은 연골의 주요 구성 요소로, 관절의 탄력성과 수분을 유지하여 마모를 줄이고 관절 통증과 염증을 완화하는 데 도움을 줍니다. 관절의 기능을 개선하고 운동 능력을 향상시키는 콘드로이친 효능에 대해 알아보았습니다. 관절건강 불편하기 전에 미리 챙기는 것이 가장 중요한 것 같습니다. 관절 건강을 위해 꾸준한 근력 운동도 중요하다는 사실도 잊지 마세요!
더 알아보기 | 보스웰리아 효능, | MSM의 효능 관절건강






| 여러분에게 유용하다고 판단되는 제품의 링크를 포함하고 있습니다. 링크를 통해 구매하시면 일정액의 수수료를 제공받으며 블로그 운영에 큰 도움이 됩니다. |
함께 보면 도움되는 정보
글루타치온 효능 항산화의 왕
글루타치온은 우리 몸에서 자연적으로 생성되는 강력한 항산화 물질로, 세포의 손상을 막고 다양한 질병을 예방하는 데 중요한 역할을 합니다. 글루타치온 효능과 이를 통해 건강을 유지하는
info.wellnessprimary.com
2024.06.29 - [건강정보] - 다이글로메라 효능 다이어트
다이글로메라 효능 다이어트
다이어트는 누구에게나 힘든 일이지만, 나이가 들면 더욱이 체중 감량이 쉬운 일이 아닙니다. 하지만 최근 다이어트에 도움이 되는 다이글로메라가 많은 사람들에게 큰 관심을 받고 있는데요.
info.wellnessprimary.com
'건강정보' 카테고리의 다른 글
| 루피니빈 효능 혈당과 체중을 함께 (0) | 2024.07.02 |
|---|---|
| 감자 효능 지금 드세요 (0) | 2024.07.01 |
| 글루타치온 효능 항산화의 왕 (0) | 2024.06.30 |
| 쥐눈이콩 효능과 영양성분 (0) | 2024.06.30 |
| 다이글로메라 효능 다이어트 (0) | 2024.06.29 |